Твоя ДиетаОнлайн

Начни здоровую жизнь прямо сейчас

Единственная в России интерактивная программа похудения

Виниры – простое решение сложных проблем с зубами

Виниры – простое решение сложных проблем с зубами

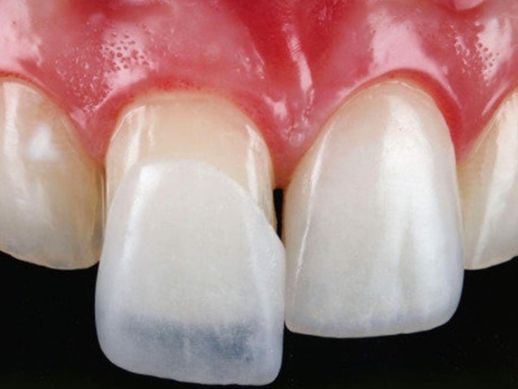
Все люди мечтают об идеально ровном и белоснежном зубном ряде. Современные стоматологические методики позволяют добиться желаемого результата в кратчайшие сроки без причинения боли. Речь идет о накладках, которые невозможно отличить от натуральной эмали даже при ближайшем рассмотрении.

Микроскопические протезы в виде тончайших пластин прикрепляют к видимой части зубов. Перед тем, как поставить виниры врачи тщательно исследуют состояние эмали и ротовой полости. Обычно накладками украшают 10 верхних и 8 нижних зубов.

Кому подойдут виниры и когда от них лучше отказаться

Виниры преимущественно используются, когда требуется быстро устранить проблемы наподобие клиновидного дефекта. Пластины применяются в таких часто встречающихся ситуациях:

  • широкие зазоры между резцами;
  • деминерализация после ношения брекетов;
  • искривленные зубы;
  • потемнение эмали.

Виниры – простое решение сложных проблем с зубами

Виниры категорически запрещено устанавливать при наличии кариеса и заболеваний десен. Накладками нельзя накрывать зубной ряд, если пациент страдает от неправильного прикуса. Спортсменам, которые занимаются единоборствами, подбирают другие способы устранения дефектов.

Причины популярности виниров

Виниры позволяют откорректировать внешний вид зубного ряда в соответствии с общепринятыми стандартами. Виниры получили повсеместное распространение благодаря таким достоинствам:

  • минимальный вес;
  • невосприимчивость к пищевым красителям;
  • оперативная установка без стачивания костной ткани;
  • простота ухода.

Аккуратному владельцу виниры способны прослужить от 3 до 7 лет с учетом специфики использованного материала. Вам не придется покупать дорогостоящие зубные пасты и отбеливающие средства.

Основные разновидности виниров

Наибольшим спросом в нашей стране пользуются керамические пластины, которые привлекают посетителей стоматологических центров невысокой стоимостью. Дороже обойдутся сверхпрочные накладки из диоксида циркония. Они не тускнеют и служат гораздо дольше по сравнению с фарфоровыми изделиями. Композитные виниры чаще всего используются для реставрации жевательных зубов.

  • Яндекс.Метрика